Follow
Follow
Follow
Search for:
×
Home
About Us
Services
Basal Implants and Basal Screws – No More Bone Grafts!
Get Permanent Teeth Implants in 3 days
Dental Bone Graft Cost and its Complications
Sinus Lift Complications & its Alternatives
One Piece Implants – Affordable Dental Implants
Tuberopterygoid Implants
Life Time Warranty
Testimonials
Gallery
Blog
Contact Us
+91 99596 14584
info@drmotiwala.com
Home
About Us
Services
Basal Implants and Basal Screws – No More Bone Grafts!
Get Permanent Teeth Implants in 3 days
Dental Bone Graft Cost and its Complications
Sinus Lift Complications & its Alternatives
One Piece Implants – Affordable Dental Implants
Tuberopterygoid Implants
Life Time Warranty
Testimonials
Gallery
Blog
Contact Us
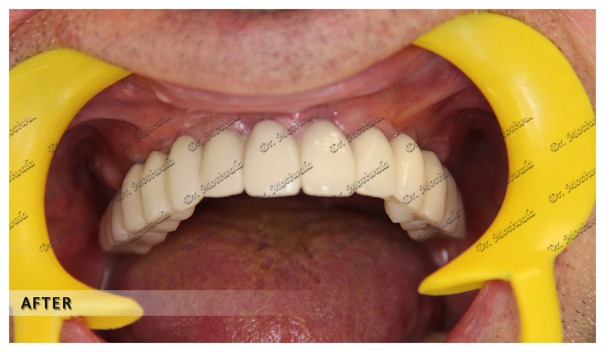
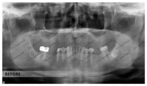
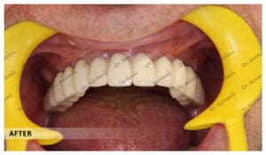
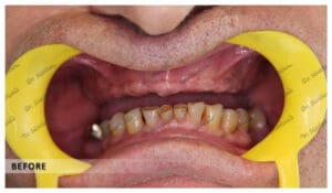
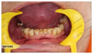
Case Study #1
Click on any image to see full-size gallery!
BACK TO MAIN GALLERY