The toughest tissue in the human body is the thin layer of enamel that covers the outside of your teeth. This is called the dentine. Most of tooth enamel is made of the mineral hydroxyapatite, which makes up the majority of this substance. Enamel is semi-translucent and only makes up part of a person’s tooth color. It can be light yellow, gray, or even a bluish-white color. But the color of the enamel is not the only thing that affects the color of a person’s teeth. Enamel doesn’t have any live cells, so if it gets damaged, the body won’t be able to fix it. You can’t get it back once it’s gone.
Functions of Tooth Enamel
The enamel on our teeth is an important part of their defense against tooth decay. It also helps protect them from the normal wear and tear that comes from things like eating, biting, grinding, and talking.
The development of enamel as a strong barrier helps to protect the dentin, pulp, blood vessels, and nerves on the inside of the teeth. It helps protect these internal structures from hot and cold foods and drinks, as well as acidic substances and bacteria. When enamel wears away, the dentin and pulp layers of the teeth can become visible. This can cause damage to these layers.
How to Tell If You Are Losing Enamel?
It can be hard to tell when your enamel is starting to wear away. Here are a few of the most important signs to keep an eye out for:
Color
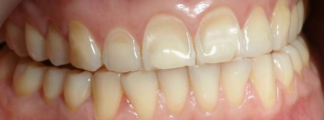
If you have noticed that the color of your teeth has changed, you may have enamel loss. Check the surface of the tooth for a yellow or shiny layer.
Pain & Sensitivity
One of the most ignored signs of enamel loss is increased tooth sensitivity, which can lead to pain in the end. Does it hurt when you eat or drink something that is too hot, too cold, too sweet, or too cold and too hot? If it hurts a lot, it could mean that the enamel loss has moved to a later stage.
Abrasive Texture
In the early stages, enamel loss can show up as roughness around the edges of the teeth, cracks, chips, or pits.
Openness & Honesty
Erosion can make the teeth look see-through near the edges, which are visible when you bite.
Shining Specks
Shiny spots are also a sign that enamel is starting to wear away. If you have spots on your teeth that are shiny, you may already have the first signs of enamel loss.
Causes of Enamel Erosion
Acids from the food and drinks we eat and drink are often to blame for loss of the enamel on our teeth, since acids are naturally found in our bodies. In a normal setting, your saliva would neutralize the acid in your mouth. On the other hand, your enamel will wear down over time if you eat or drink a lot of acidic things or if you don’t brush your teeth very often. It’s not a question of if it will happen, but when.
If you’re worried about how much acidic food and drink you’re taking in, you should eat and drink modest amounts of the following: Carbonated drinks, sweet foods like ice cream, syrup, and toffee, starchy foods like white bread and cake, and fruit juices (hello, erosion city!) are all bad for your teeth.
Because saliva helps to reduce the effects of acids on the teeth and gums, a dry mouth can also cause enamel erosion. Some drugs can cause dry mouth, which can wear down your teeth. Some of these are antihistamines and aspirin.
Bruxism, which is the medical word for grinding one’s teeth, and acid reflux, which is caused by gastroesophageal reflux disease and bulimia and causes stomach acid to get into the mouth, will both wear away the enamel.
Acid reflux, also known as gastroesophageal reflux disease (GERD), can cause teeth to wear away. Bulimia is an eating problem that makes people throw up food, which weakens their teeth enamel and makes them feel sick. In both cases, the problem is that acid from the stomach is getting into the mouth and hurting the teeth.
You can’t take enamel back once it’s been used. To protect your smile, you need to take care of your teeth and gums and do things to stop enamel loss before it happens. In the next part of this guide, we’ll talk about how to keep your teeth’s enamel from wearing away.
How to Avoid Losing Enamel?
You’re in luck because there are a lot of things you can do to keep the enamel on your teeth from wearing away. In addition to the obvious steps of brushing, flossing, and going to the doctor regularly, here are some other things you can do to keep your mouth healthy.
Try to reduce how much sugar you eat!
It is very important to stress this point. Sugar feeds the bacteria in your mouth, which then make acids that eat away at your teeth’s enamel. So, watch how much you eat and drink. You should try to limit how much extra sugar you eat and get your sugar instead from whole foods, like a piece of fruit. This is a good place to begin.
After a meal is a good time to chew gum
Chewing gum makes your mouth make more saliva, which helps to balance stomach acids. Choose gum without sugar and chew it for at least 30 minutes after you eat to get your body to make more stomach juices. Xylitol has been shown to lower the risk of tooth decay, which makes xylitol gum a great choice.
Before you brush your teeth, you have to wait
Do not rush to brush your teeth right away after breakfast, lunch, or dinner. Please wait a half hour before you brush your teeth, because doing it too soon can wear away the enamel. When you do brush your teeth, use fluoride mouthwash.
Add dairy products to your meal to make it more complete
Sip a glass of milk after you’re done eating to help get rid of any stomach gas that may have been made.
More water to drink
If you drink more water, both the inside and outside of your mouth will stay moist all day. (That’s good advice for just about everything you need to know in life.)
Can the Enamel Be Rebuilt?
Even if your enamel has already started to wear away, it might still be possible to fix it. Even though enamel can’t be fixed, it can be protected from further damage. The amount of minerals in enamel can be increased to make it harder.
Remineralization of enamel
Remineralization is a process that restores minerals to teeth and makes the enamel stronger. High amounts of calcium phosphate or fluoride in products help the enamel remineralize naturally before it gets to a point where it can’t be fixed anymore. This method can only be used at the start of the erosion process. Even if your tooth enamel is only a little bit damaged, you should be able to get the most out of the remineralization process. Check out these home remedies that have been tried and tested.
- At least twice a day, you should brush your teeth. These actions kill microorganisms, which then cause the damage. Also, you should floss your teeth at least twice a day to get rid of bacteria and prevent gum disease.
- When you brush your teeth with fluoride-containing toothpaste, it will help your teeth get stronger and stop any more mineral loss.
- Probiotics like salivarius, rhamnosus, or reuteri should be eaten.
- Lastly, gargle with a mouthwash that restores minerals at least twice a day. (This particular phase also feels great.)
If your teeth are in such bad shape that remineralization won’t help, you should make an appointment with a dentist to talk about other ways to treat your teeth. These can include getting fillings, veneers, or even crowns put on. Every case will be different.
Find a Dentist Now!
It is important to find a dentist you can trust and feel comfortable with. Set up a time to see Dr. Motiwala. Let’s stop that loss of land, shall we? Just think about us with a smile on your face.

Dr. Motiwala in International Press
To access the article, kindly click the logo of the NEWS website below.
![]() |
![]() |
![]() |
Don’t Wait, Contact Us Now!
Dial +91 99596 14584 to speak with Dr. Motiwala Dental Clinic & Implant Center about your treatment choices and avoid paying any sinus lift costs in India. Contact us using the form on our CONTACT US page, and we’ll get back to you as soon as we can with the information you require.





